Advanced Periodontal And Implant Expertise
Advanced Periodontal And Implant Expertise
A Refined Approach To Lasting Strength
A Refined Approach To Lasting Strength
Get A Healthy New Smile Today
From Board Certified Periodontal and Dental implant specialists.
What You get With Us
Deliberate Thought Behind Every Decision
- Personalized treatment plans with detailed explanations at every step
- Four decades of refined expertise and reliable follow-up care
- Expert insight from two board-certified periodontists
- Tailored anesthesia options for a comfortable, streamlined visit
- Customized restorations made in-house that last for years
Meet Our Specialists
Where Experience Defines The Standard
Dr. Alan Meltzer
When you have been told there are no good options left, it stays with you. Dr. Meltzer has built his career around stepping into those moments. He looks deeper, takes the time others often do not, and finds a way forward grounded in experience. His work is measured and intentional, focused on restoring strength and giving you back a sense of certainty.
Dr. Wael Isleem
You want to feel confident before anything begins. Dr. Isleem brings advanced training with a calm, focused approach that puts you at ease. He listens closely, then builds a plan with precision, keeping each step clear and manageable. You move forward with confidence, knowing each decision supports a result you can trust.
our specialized services
Find The Right Way To Begin
Dental implants provide several advantages over other procedures. In addition to looking and feeling like a natural tooth, a dental implant can be a safe way to restore a single tooth without compromising the health of neighboring teeth.
Periodontists are often called the plastic surgeons of dentistry. Periodontal plastic surgery focuses on your gums, alveolar bone, and the mucus membranes of your mouth to restore the aesthetics, health, and functionality of your smile. If you have a “gummy” smile or any other cosmetic dental concerns, periodontal plastic surgery can help.
We don’t hesitate pampering our skin with facials or getting our hair done, so why do we not do the same for our teeth? We find many patients tend to neglect their smile aesthetics, despite investing in their overall grooming regime. This is counterproductive – our smiles are at the heart of our facial features and can detract from our looks and self-confidence.
Hear Our Patients' Stories
Words from those who have been here
Caroline’s Testimonial
- After years of living with a missing front tooth, she chose a lasting solution that finally feels like her own
Nicia’s Testimonial
- Tired of not smiling and avoiding dentures, she chose full dental implants and now moves through life without hiding
Phillipe’s Testimonial
- After years of discomfort with failing teeth, and gum issues, he chose dental implants and regained control of his daily life
Browse Our Google Reviews
Our Patients Say It Best
Trustindex verifies that the original source of the review is Google. Donna is simply the very Best. See you in July.Posted on Doc NowickiTrustindex verifies that the original source of the review is Google. Really had a very good experience. Dr Meltzer is wonderful and explained everything in detail. The technician’s were very nice and did their jobs thoroughly. Felt very comfortable during my visit.Posted on Marguerite GagerTrustindex verifies that the original source of the review is Google. Easy to talk to and they explain everything step by step also very pleasant and helpfulPosted on Judith MajorTrustindex verifies that the original source of the review is Google. Great experience from start to finish! The staff was friendly, the office was clean, and my hygienist, Donna, was professional, gentle and AWESOME! Everything was explained clearly, and I felt comfortable the entire time. Highly recommend!Posted on Kim MicheliniTrustindex verifies that the original source of the review is Google. Well. I started here in the early 90s. I seldom need to come back- but here I am, an ancient cap came off. Still the top notch professional experience that gives you the confidence you want when you have someone digging in your mouth. You don't want mistakes in a dental procedure.Posted on Walt NicholsonTrustindex verifies that the original source of the review is Google. Very professional. Great staffPosted on Vincent CerasoTrustindex verifies that the original source of the review is Google. Everyone at the office was very pleasant. The assistant was very friendly, and Dr. Isleem was professional and clear in communicating the information about my dental issues. Very pleased with this Group. Had my surgery, was excellent, although I was out like a light, when I awoke in the final minutes it was a done deal. My post-op instructions clear and precise. Staff is exceptional!Posted on Brenda StanfordTrustindex verifies that the original source of the review is Google. Dr. Isleem is outstanding! Extremely knowledgeable. Comforting. Caring. Genuine. Great personality. Highly recommend. The whole office presents a great vibe. Superb staff. Very helpful. Friendly. Welcoming. Highly recommend this office (Voorhees)Posted on Kimbi Slice
Patient had an old acrylic prosthesis that was replaced by high end zirconia fixed restoration on implants
An edentulous patient received a full mouth reconstruction using implants and fixed bridges
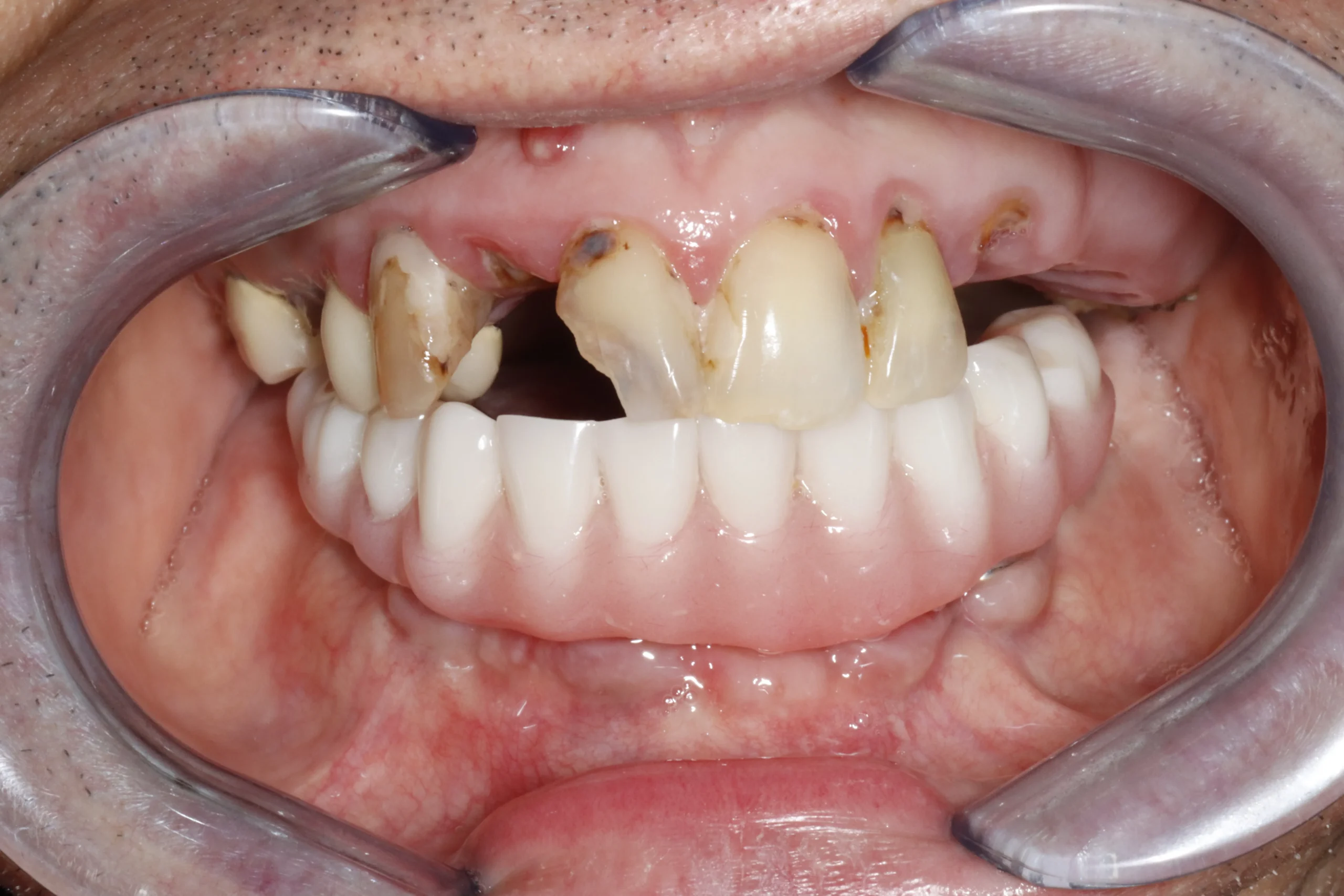
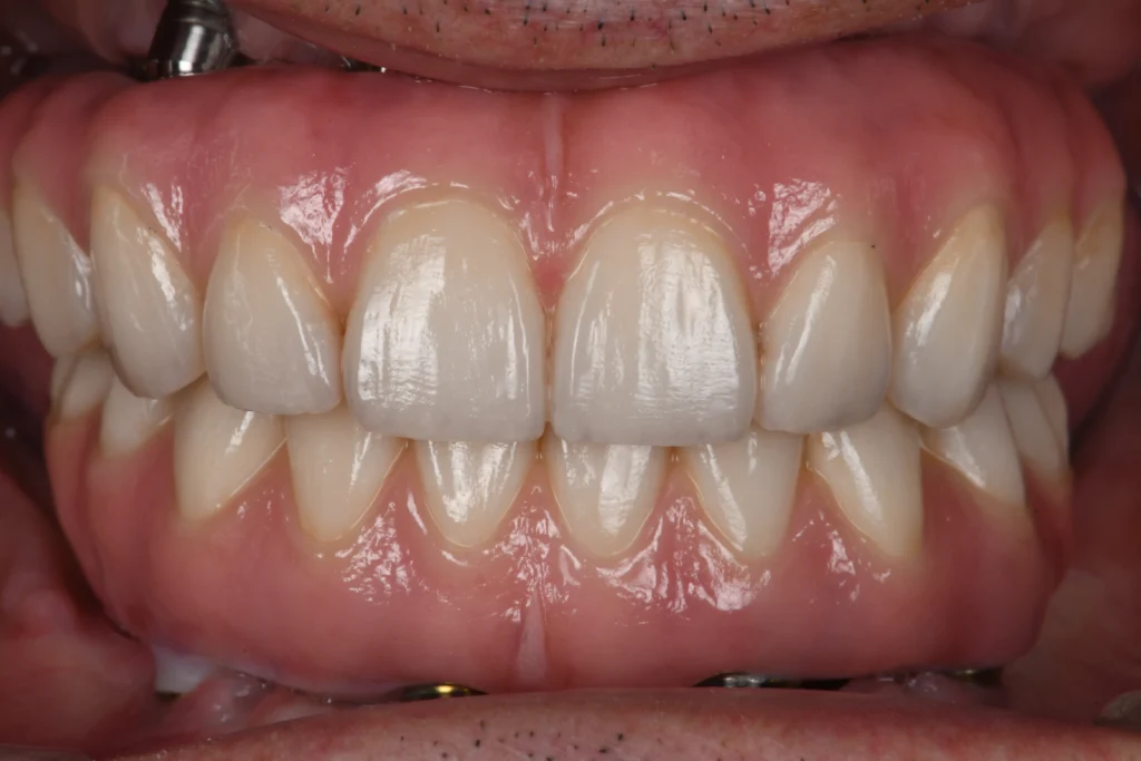
3 missing teeth replaced by dental implants and crowns

An edentulous patient received upper fixed teeth on implants

Replacement of ill-fitting teeth ( gummy smile) with aesthetically pleasing ones
Advanced case of malocclusion, gummy smile, bite collapse solved using dental implants and fixed bridges

Failing teeth replaced with fixed prosthesis on implants
Edentulous patient received a full mouth reconstruction using implants and fixed bridges
Patient had a crown made for her single implant, all esthetic parameters were incorrect, she came to us to fix it. The crown was replaced with a new one reflecting proper shade and color to mimic natural adjacent teeth
Give Your Smile A Second Chance
No smile is beyond saving.
With the careful guidance of our expert periodontists, you can feel confident and smile freely again.
We Believe in What We Do
A Presence That Extends Beyond These Walls