Losing a front tooth is different.
It is not just about restoring function. It is about protecting your appearance, your confidence, and the natural harmony of your smile.
Replacing a single tooth in the esthetic zone requires advanced planning, surgical precision, and artistic restoration. The goal is simple: your replacement tooth should blend seamlessly, not stand out.
In the esthetic zone, even small changes in tissue shape can affect how a crown looks.
That is why extractions in this area are performed with technique-sensitive precision. Every step is designed to minimize trauma and maintain the natural architecture of the surrounding gums and bone.
The focus is not simply on removing a tooth. It is on preserving the foundation that supports a natural-looking result.
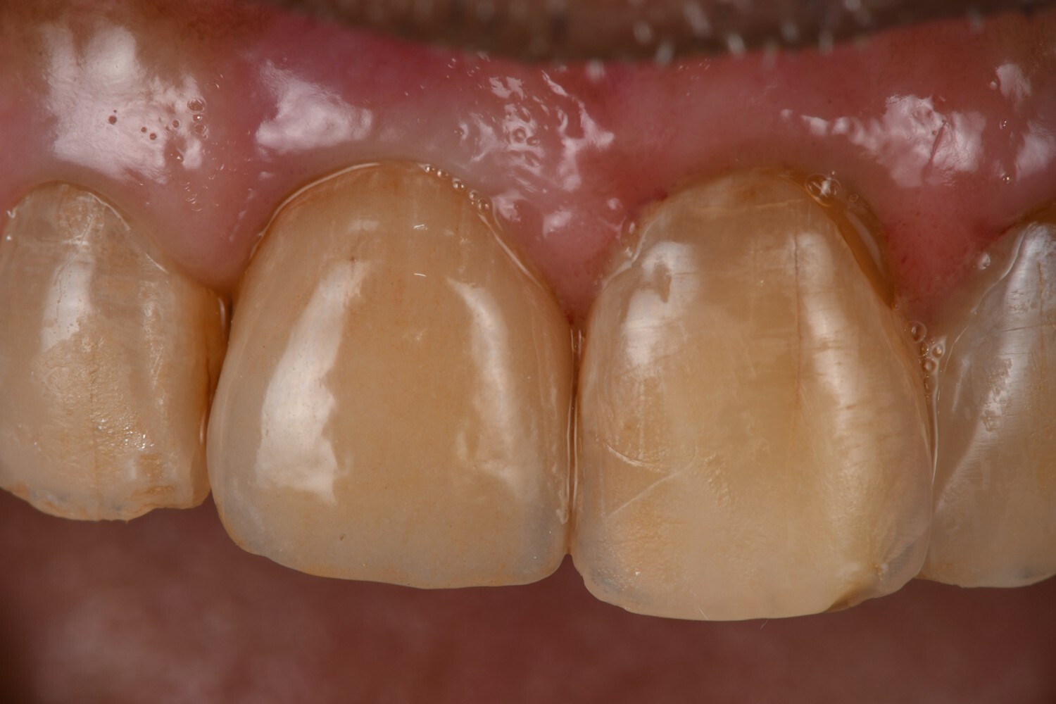
Replacing one tooth in the front of your mouth is one of the most technically demanding procedures in restorative dentistry.
Unlike replacing multiple teeth, a single crown must match the exact shade, translucency, shape, and light reflection of the teeth beside it. Even subtle differences can make a restoration noticeable.
To achieve this level of precision, we use:
These tools allow us to capture accurate shade data and subtle characteristics that the human eye alone may miss. This is where advanced technology and restorative artistry meet.


Every case begins with detailed evaluation and digital planning.
Comprehensive Assessment: We evaluate your current tooth, bone support, gum health, and overall smile design before any procedure is performed.
Pre-Extraction Planning: When appropriate, implant placement is mapped before the tooth is removed to preserve critical tissues.
Precision-Guided Surgery: A technique-sensitive extraction is performed, followed by implant placement positioned to support optimal esthetics.
Restorative Design and Shade Matching: Using DSLR imaging and OptiShade digital color analysis, we design a crown that matches your natural teeth in shade, translucency, and texture.
Final Placement: Once healing is complete, your custom restoration is secured to create a stable, natural-looking result.
Single-tooth replacement in the esthetic zone requires more than standard implant training.
It demands an understanding of tissue dynamics, bone preservation, restorative detail, and cosmetic balance. Our approach combines surgical precision with restorative artistry to deliver outcomes that prioritize long-term stability and seamless aesthetics.
This is advanced implant dentistry performed with intention and meticulous planning.
If you are facing the loss of a front tooth, timing matters. Planning early gives you the greatest opportunity to preserve your natural smile.
Schedule a consultation to explore whether a precision-planned single-tooth implant is the right solution for you